
はじめに
「長時間座っていると腰が痛い」「朝起きたときに腰が重い」と感じることはありませんか。現代ではデスクワークやスマートフォンの使用時間が増え、姿勢の乱れによる腰痛が増えているといわれています。今回は、腰痛と姿勢の関係や、レントゲン検査で分かる背骨の変化、そして日常生活でできる予防・腰痛改善法についてご紹介します。
姿勢と腰痛の関係
私たちの背骨(脊椎)は、横から見るとゆるやかなS字カーブを描いています。このカーブがあることで、体にかかる衝撃を分散し、無理なく体を支えることができます。

しかし、長時間のデスクワークや猫背の姿勢が続くと、このバランスが崩れ、腰や肩・首に負担が集中してしまいます。
例えば、前かがみの姿勢や背中を丸めた姿勢では、腰の筋肉や椎間板に大きな負担がかかります。この状態が続くと、慢性的な腰痛や筋肉の緊張につながることがあります。近年ではテレワークやスマートフォンの長時間使用により、若い世代でも姿勢による腰痛が増えているといわれています。

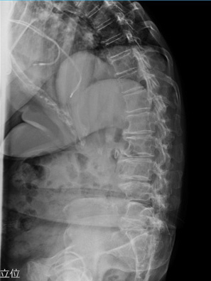
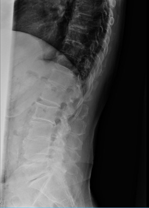
レントゲンで見る背骨の変化
腰痛の原因を調べる際には、単純レントゲン検査が行われることがあります。レントゲンでは骨の形や並び方を確認することができ、背骨の状態を客観的に見ることができます。
例えば、次のような変化が確認されることがあります。
レントゲン検査は短時間で行うことができ、腰痛の原因を探るための大切な手がかりとなります。ただし、腰痛の原因は筋肉や神経など骨以外にある場合もあるため、症状に応じて他の検査が行われることもあります。
日常生活でできる腰痛の予防と改善
姿勢による腰痛は、日常生活の工夫によって予防できる場合があります。普段の生活の中で、次のような点を意識してみましょう。
正しい姿勢を意識する
椅子に座るときは、背筋を伸ばし、骨盤を立てるように座ることが大切です。背もたれをうまく使い、深く腰掛けるようにしましょう。

長時間同じ姿勢を続けない
デスクワークなどで長時間座る場合は、1時間に1回程度立ち上がり、軽く体を動かすことがおすすめです。簡単なストレッチを行うだけでも、腰への負担を減らすことができます。

適度な運動を取り入れる
ウォーキングや軽い体操など、無理のない運動を習慣にすることで、腰回りの筋肉を保つことができます。筋肉がしっかり働くことで、背骨への負担を減らすことにつながります。

気になる症状があるときは早めの相談を
腰痛は多くの人が経験する症状ですが、原因はさまざまです。姿勢の問題だけでなく、骨や椎間板、神経などが関係している場合もあります。レントゲン検査やCT、MRIなどの画像検査を行うことで、背骨や神経の状態を詳しく確認することができます。
腰の痛みが長く続く場合や、日常生活に支障が出ている場合には、無理をせず早めに医療機関へ相談することをおすすめします。
当院ではレントゲン撮影、CT、MRI検査などさまざまな方法で診断を行うことが可能です。


まとめ
腰痛の背景には、日常の姿勢や生活習慣が関係していることがあります。レントゲン検査では、背骨の並びや椎体の状態を確認することができ、腰痛の原因を調べる大切な手がかりになります。日頃から姿勢を意識し、適度な運動や休憩を取り入れながら、腰への負担を減らす生活を心がけましょう。気になる症状がある場合は早めに医療機関へご相談ください。








